Smile Gallery
At SMYL Dentistry in Houston, TX, every smile tells a story of confidence, renewal, and transformation. Our dentists, Dr. Mitchell Mactier and Dr. Christina Vu, design personalized treatment plans that combine precision and artistry to create smiles that truly reflect each patient’s personality. Whether you’re looking for subtle refinements or a complete smile makeover, our team focuses on delivering results that look natural and feel comfortable. Explore our smile gallery below and see how you can begin your own transformation today.
FeaturedSmile
Transformations
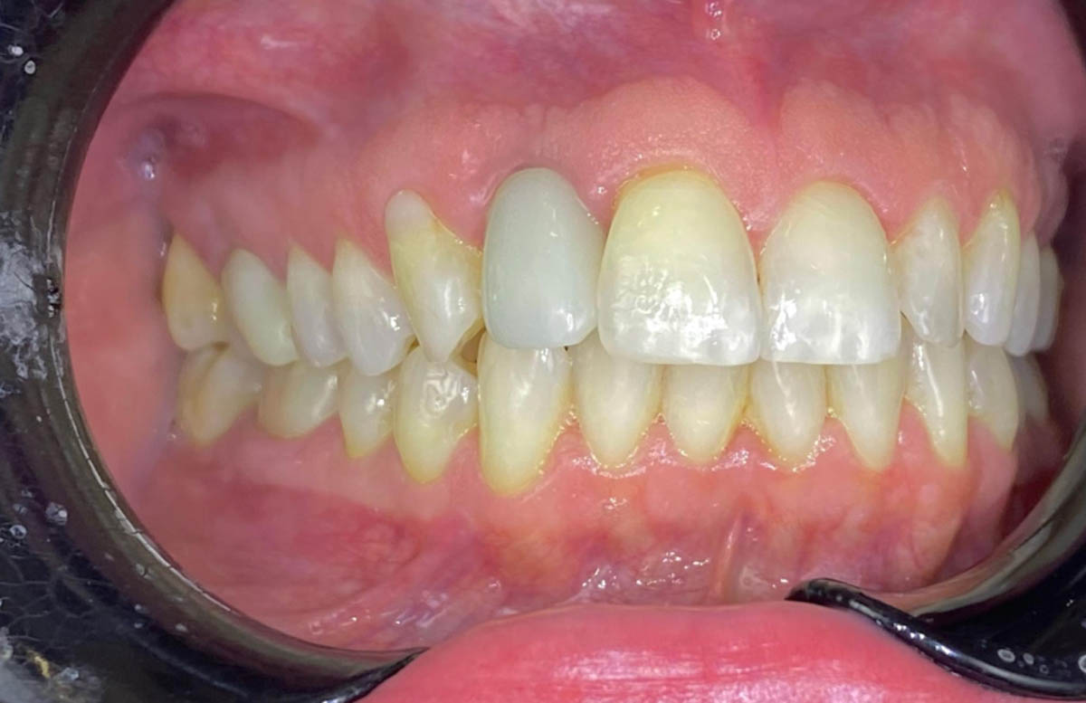
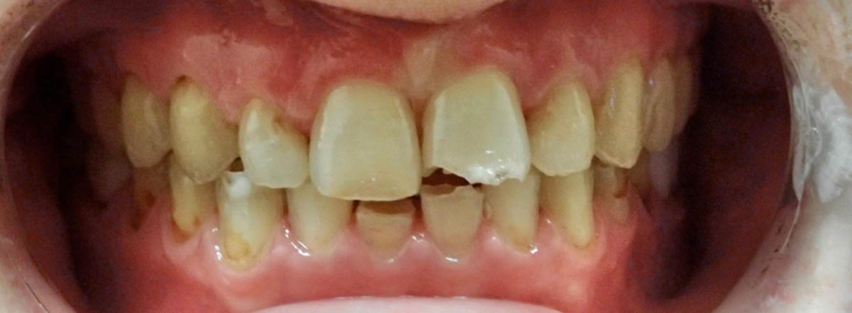
Blair
Upper 8 Veneers
Blair visited our practice hoping to enhance his smile. His teeth were small and uneven, affecting both his confidence and overall appearance. In just two visits, his smile was beautifully transformed with upper eight veneers that created a balanced, natural look.






Kelli
Upper 10 Veneers & Crowns
Kelli wanted to refresh her smile after noticing her teeth were small and worn from everyday use. Our dentists designed a custom blend of upper ten crowns and veneers to restore both strength and harmony to her smile. After only two visits, she left with a brighter, more confident look she truly loves.
Charolette
Upper Anterior Bridge
Charolette had been missing several front teeth and was looking for a lasting solution without implants or additional surgery. We crafted an upper anterior bridge to restore both function and beauty to her smile. In just two visits, she regained her confidence and the full, natural look she desired.






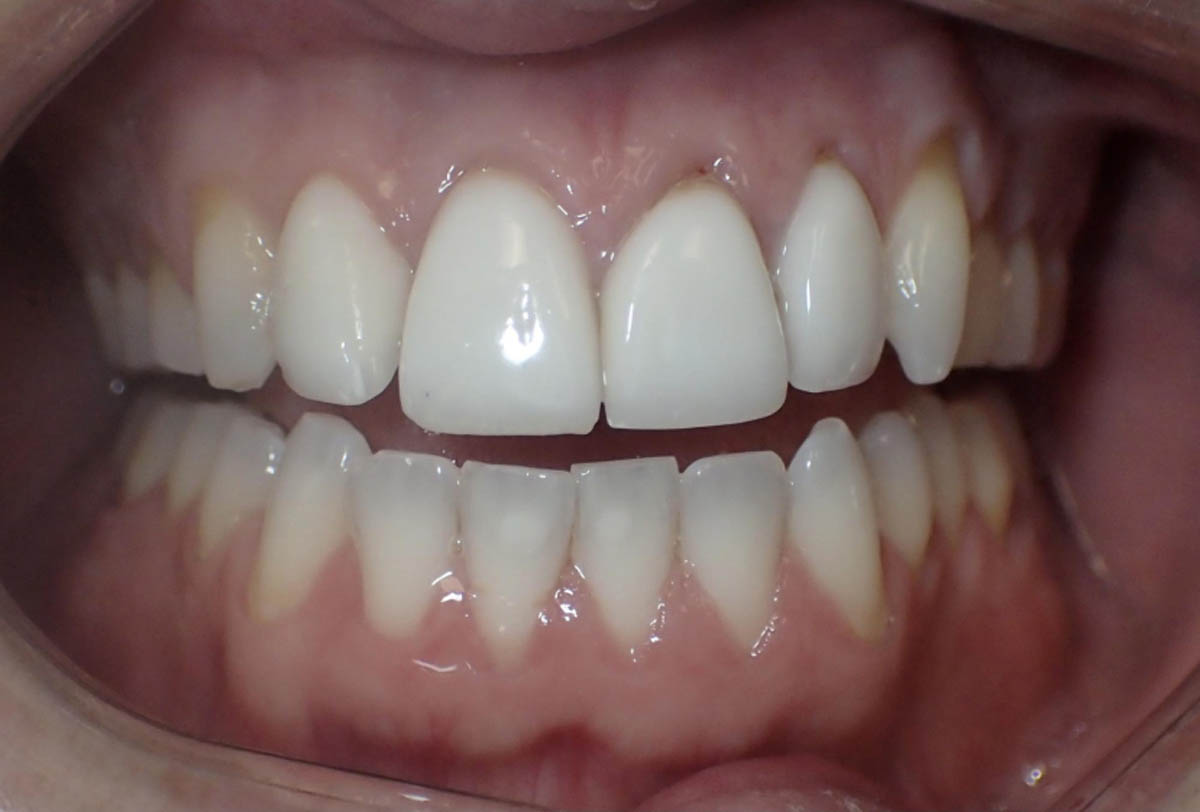
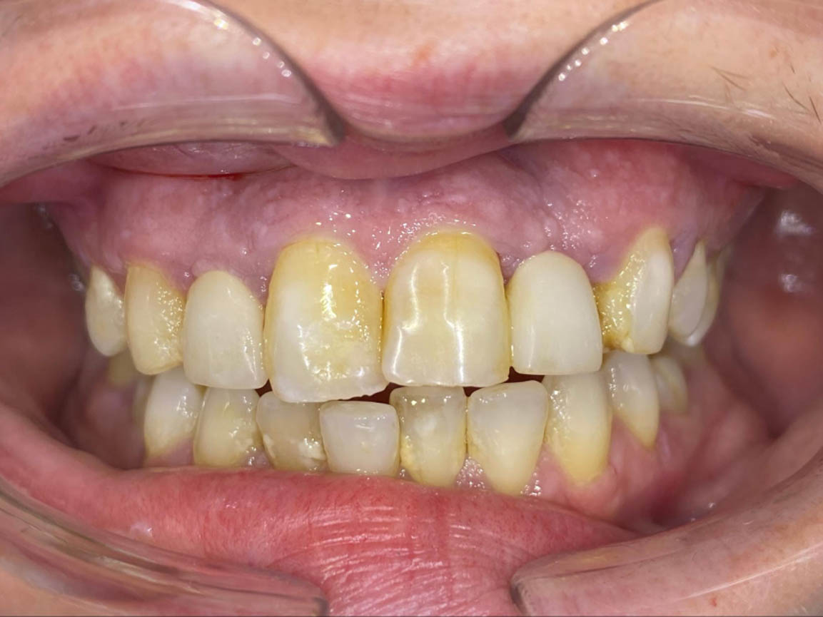
Meghan
Upper 10 Veneers
Meghan had previously completed orthodontic treatment but wanted a whiter, more refined smile. Our team created custom upper ten veneers that enhanced her tooth shape and color for a flawless finish. Now, her smile shines with a new level of confidence and brightness.
Explore More Smile
Makeovers
Every transformation in our gallery reflects our patients’ individual goals and our dedication to quality care. Browse our before-and-after photos to see how personalized treatment can transform your smile and elevate your confidence.
Start Your Smile Journey With Us
Today
Your dream smile could be closer than you think. At SMYL Dentistry, we use advanced technology and artistic precision to create beautiful, lasting results tailored to each patient. From veneers and crowns to complete smile makeovers, our treatments are designed to help you look and feel your best. Schedule your consultation today and take the first step toward a smile you’ll love to share.











































